Smile Gallery

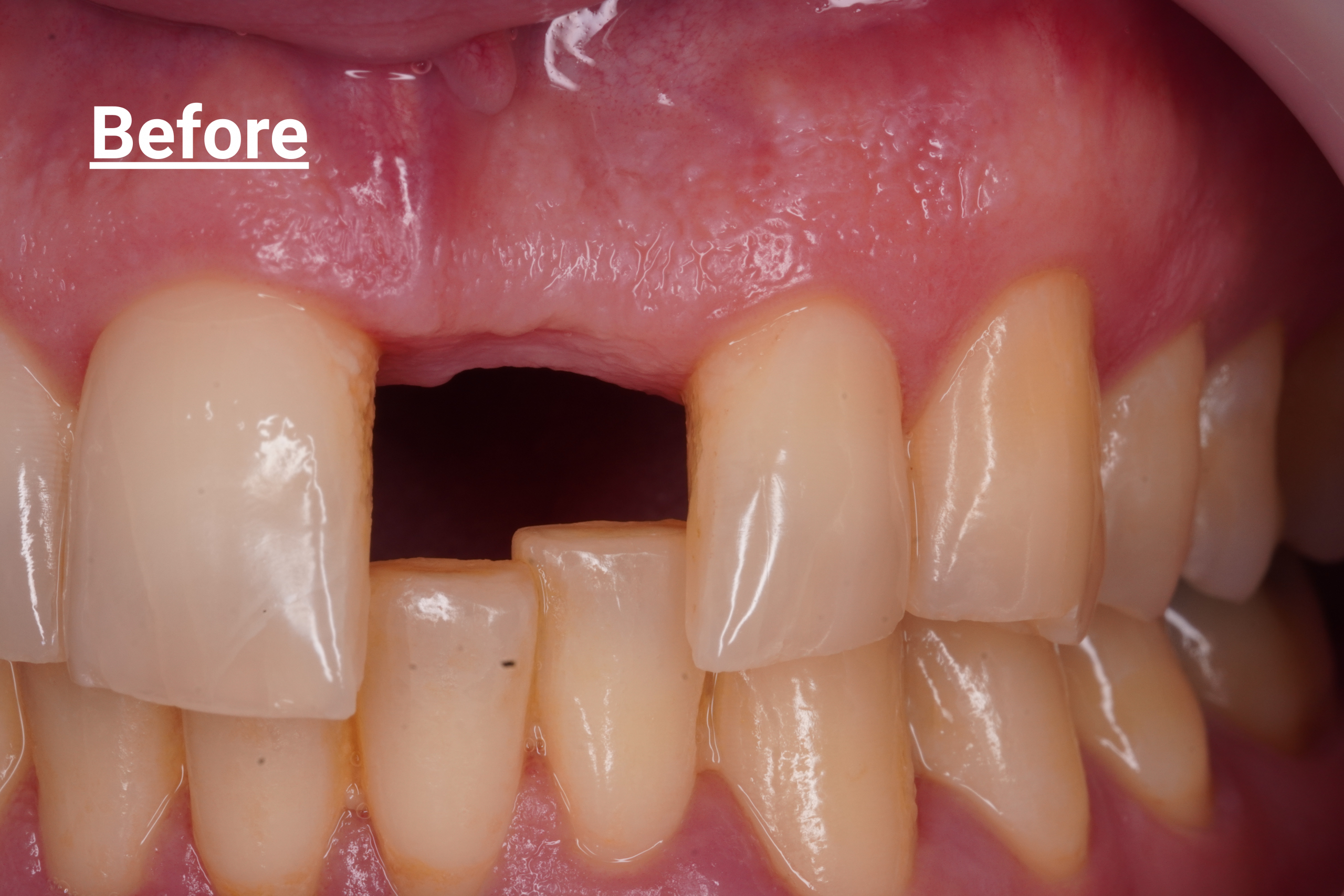
Before - Implant case large
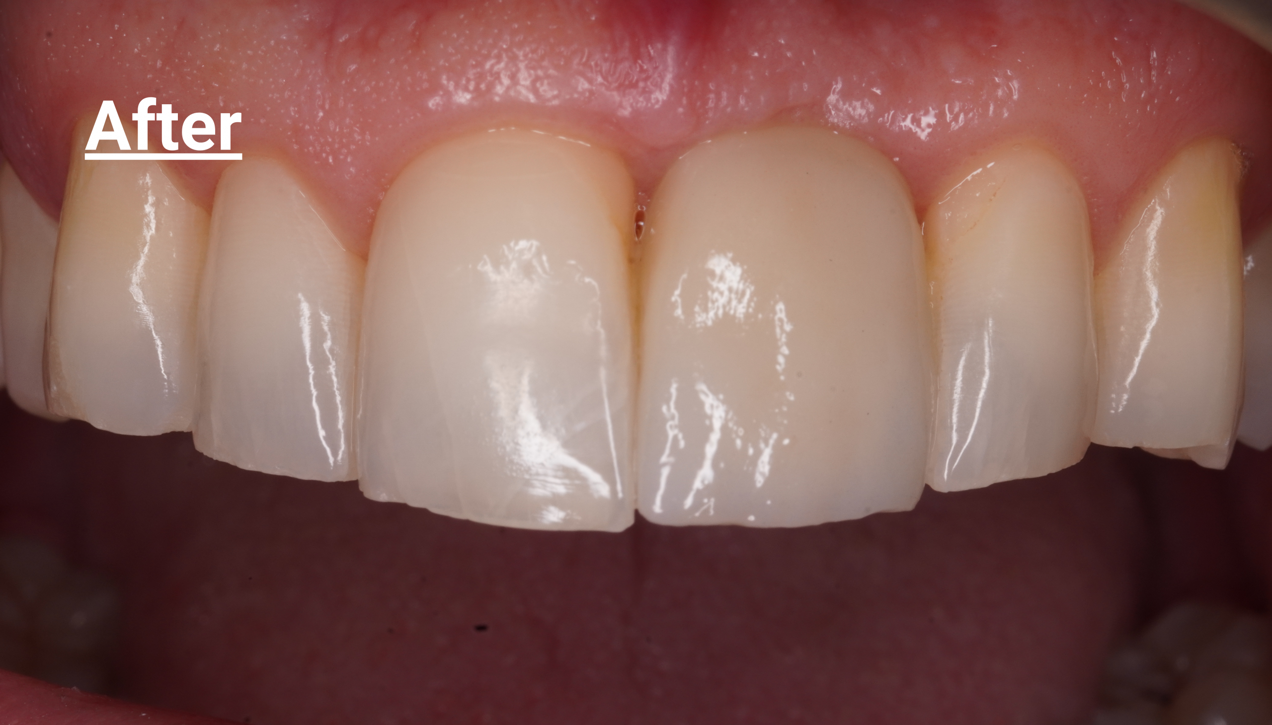
After - Implant case large
A dental implant replacing the missing upper left central tooth.
Implant case molar - Before
Implant case molar - After
A case of a missing canine tooth restored with a bridge.

Caring, approachable and

quality dental service

Send us a message

The team at Cedar Dental & Implant Clinic welcome the opportunity of discussing your dental requirements. Our practice provides private care for adults and children. Please feel free to call us on 01842 818 188, or complete the form below and one of our team will be in touch shortly. If you are looking for NHS dentistry, please visit the NHS website for further information.

You should receive an automated confirmation email following your message submission. Please check your spam folder or get in touch if you do not.